Prellungen

Aus KiwiThek
Wechseln zu: Navigation, Suche
Prellung auf der Hand - Saluk commons.wikimedia.org, CC0 1.0

Prellungen entstehen durch direkte Einwirkung eines stumpfen Stoßes auf die Haut, ohne dass diese verletzt wird. Dabei können Blutergüsse („blauer Fleck“) auftreten.

Auch Knochen und Gelenke können betroffen sein, besonders Kniegelenk und Unterschenkel. Bei Gelenkprellungen kommt es meist zu ausgedehnten Blutergüssen und zu einer unbedingten Trainings- und Wettkampfpause.

Eiswürfel in ein Tuch geben und zum Kühlen verwenden - Darren Hester commons.wikimedia.org, CC BY-SA 3.0

Sofortmaßnahmen

Pause, Kälteanwendung (Eis), Druckverband und Hochlagerung

Folgebehandlung

Stützverband, Bewegungs- und Dehnübungen, Wärme, Elektrotherapie, eventuelle Sportpause

Schulterprellung

Ein Sturz kann schnell passieren. Beuge vor! - Usien commons.wikimedia.org, CC BY-SA 3.0

Meist entsteht eine Schulterprellung durch einen Sturz oder Zusammenprall zB beim Reiten, Radfahren, Skilaufen, Eishockey oder bei Ballsportarten.

Eine Schulterzerrung wird häufig durch ein Verdrehen des Armes im Schultergelenk verursacht, wobei auch Bänder und Gelenkkapseln geschädigt werden können. Anzeichen sind: Schmerzen in der Schulter, eine Schonhaltung, eventuell Schwellungen.

Sofortmaßnahmen

Pause, Kälteanwendung (Eis), Ruhigstellung und Entlastung, Schulter gegebenenfalls in eine Schlinge legen

Folgebehandlung

Schmerzmittel und entzündungshemmende Medikamente, frühzeitige Bewegungs- und Dehnübungen, Wärme, Elektrotherapie (zB Ultraschall). Bei Schmerzfreiheit Muskeltraining und zunehmende Belastung der Schulter.

Vorbeugung

Schutzkleidung, gute Muskulatur, Technikschulung (zB Falltechniken).


Gehirnerschütterung

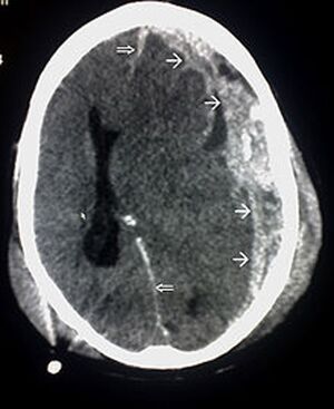
Die weißen Pfeile kennzeichnen die Blutergüsse im Gehirn - Glitzi queen00 commons.wikimedia.org, CC0 1.0
Vorbeugung: Helm, Knie- und Ellbogenschützer - gfkDSGN pixabay.com, CC0 1.0

Die Gehirnerschütterung stellt eine Prellung des Gehirns dar. Schwere Kopfverletzungen sind beim Sport glücklicherweise eher selten. Jedoch sind Gehirnerschütterungen zB beim Fußball als Folge von Zusammenstößen mit Spielern beim Kopfball oder dem Torpfosten leider öfter zu sehen. Die Verletzten klagen über teilweise heftige Kopfschmerzen, Schwindelgefühle, manchmal auch über Übelkeit und Erbrechen, zudem können kurze Bewusstlosigkeit und Erinnerungslücken auftreten.

Sofortmaßnahmen

Nach Ruhigstellung entscheidet die Ärztin oder der Arzt, ob der verletzte Person ins Krankenhaus eingewiesen wird. Bei Bewusstlosigkeit muss die betroffene Person in die stabilen Seitenlage gebracht werden.

Folgebehandlung

Je nach Schwere der Symptome gilt es, weitere Kopfverletzungen auszuschließen. Bei leichter Gehirnerschütterung reichen meist zwei, drei Tage Bettruhe zur Erholung aus. In einigen Fällen kann es jedoch Wochen dauern, bis alle Symptome verschwunden sind.

Vorbeugung

Schutzausrüstung (zB Helm)


Sonstiges